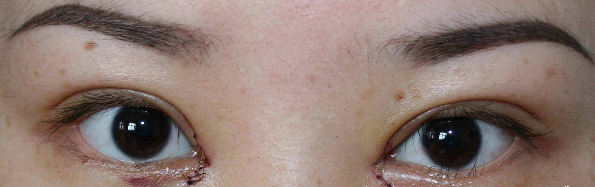
我们都喜欢大眼睛,因为大眼睛看起来特别神圣,我们有一双大眼睛很漂亮。所以,一个英俊的男孩,必须有一双神圣的眼睛。通过眼睛,我们可以看到一个人的情绪和气质。爱美是我们的天性,追求美是每个人的权利,大眼睛,因为大眼睛看起来特别神圣,生动和迷人。并不是所有的人都生来就有一双漂亮的大眼睛。我们越来越多的人非常关心小眼睛变大的方法,所以,随着整形手术的不断发展和改进,睁开眼睛可以让小眼睛立即变大,外观自然。很多好奇的人都会提到这个问题,南京的眼要多少钱?让我们来看看南京的眼角4000-8000元钱的价格。

1.韩式开眼角术后不要吃止痛片;
韩国开眼手术后,24内伤口会有一些疼痛。此时,患者最好不要服用止痛药来缓解疼痛,因为止痛药是抗凝血药物,会加重伤口出血,使伤口恢复缓慢。一般术后1-2天,伤口疼痛会减轻。
2.韩式开眼角术后避免眼疲劳;
韩国开眼角手术后,给自己预留1-2每周休息恢复一次,尽量减少看电视、看手机、看电脑、看报纸的次数,避免眼睛疲劳加重眼睛肿胀。










蜀ICP备2023012118号-1 珍美网 版权所有
Copyright © zhengxing6.com All Rights Reserved