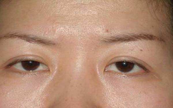
开眼角手术是一种常见的眼部整形手术。它通过手术矫正和放大内外眼角。手术分为开内眼角和开外眼角。手术后,可以延长眼睛的水平长度,使眼睛有魅力。手术后的效果通常可以持续很长时间。开内眼角的手术可以缩小眼距,适合眼距过宽的美容爱好者。手术后,它会放松眼裂,使眼睛变大,眼睛纤细美观。开外眼角的手术可以拓宽视线,自然增大眼睛。手术后,它可以使眼睛更加美丽和神圣。

开眼角手术的费用大概需要6000-10000人民币,成本一般取决于美容整形外科机构的收费标准。此外,还会有许多其他因素对成本有很大的影响,成本也会有个体差异,因为每个人的眼睛基本条件都不同,手术会困难和容易,所以成本会有所不同。
睁开眼角的手术应选择正规的睁眼手术,选择知名技术好的整形医生。虽然收费会更高,但术后效果更好,可以避免手术过程中不必要的创伤,有利于术后恢复。
手术后会有3-5一天的肿胀期,因为手术过程中会产生一些创伤。随着创伤部位的逐渐恢复,肿胀会逐渐消退。此时,必须加强抗炎护理,避免感染,否则会延长恢复时间,影响术后效果。此外,在术后恢复期间,还需要严格控制饮食。饮食应清淡,避免辛辣刺激性食物,有效加快术后恢复,保证术后效果,避免疤痕。










蜀ICP备2023012118号-1 珍美网 版权所有
Copyright © zhengxing6.com All Rights Reserved