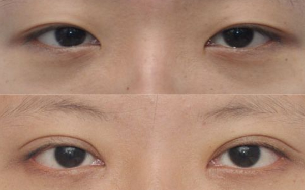
现在人们非常喜欢美,都希望自己的外表精致,但有很多人的眼睛不够好看,但不用担心,这里可以通过双眼睑手术来弥补。双眼睑手术后的效果很好,可以使人的眼睛看起来很好,但为了使效果更好,术后应做以下护理事项:

双眼皮和开眼角手术后要做好术后护理:
1、术后压力包扎:术后上眼睑会覆盖纱布条,医生会让手术人员压力半小时离开,目的是防止出血,术后第二天到医院去除眼纱布,不要自己去除,因为切口的血液和纱布经常粘在一起,强行撕开眼伤口。
2.双眼皮切开后的护理还包括术后拆线前切口不要沾水,每天用无菌棉棒在切口上涂消炎眼膏一次,外出时戴墨镜避免阳光伤口,防止疤痕增生。
3.双眼皮手术后,应在安静的环境中休息。两周内不要低头看报纸或书籍,以免引起眼睛血液循环不良和眼睛肿胀。
双眼皮手术后的效果非常明显,但为了安全起见,我们应该去一些权威的正规整形外科医疗机构,因为正规医院的整形外科医生非常熟练,这将减少一些不良现象。术后应按照医生的指示进行,女性应注意避免月经和哺乳。










蜀ICP备2023012118号-1 珍美网 版权所有
Copyright © zhengxing6.com All Rights Reserved