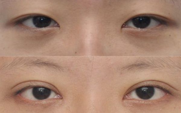
每个人都想变得更漂亮,所以随着整形手术技术的发展,越来越多的美容爱好者选择通过整形手术来改善自己的缺点,包括眼角手术受到大多数美容爱好者的青睐,可以发挥放大眼睛的效果,但不是每个人都能做手术,眼角适合小眼睛,内眦赘皮和眼距太宽。

适合手术的人:
1.开外眼角手术适合眼睛过小的人:能明显拉宽眼裂,使眼型纤细美观;
2.眼距过宽者:切除内眦赘皮,扩大内眦,可有效拉近两眼间距。这种情况也可以有效改善外眦手术;
3.想要不断改善双眼皮的人——双眼皮手术时可以一起做外眼角手术,做出诱人的桃花眼;
4.手术也有助于影响眼角的下垂。如果合并上睑下垂,可以6-12上睑下垂矫正术配合治疗一个月后。
5.内眦赘皮者。
6.先天性小眼症患者。
以上是一些适合人群的相关知识。为了保证自身的安全和术后效果,建议大家选择经验丰富的正规大医院进行手术。专业医生会根据爱美女士的实际情况设计出合适的手术方法,使手术取得良好的效果。










蜀ICP备2023012118号-1 珍美网 版权所有
Copyright © zhengxing6.com All Rights Reserved