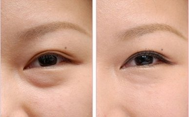
在生活中,由于作息时间不规律,很多人会随着时间的推移在脸上出现眼袋,这尤其影响了整体形象。因此,有些人会通过眼袋整形手术来改善。眼袋整形手术后会有结痂。一般来说,结痂会在7天左右脱落。但是,为了使术后效果更好,手术后应做好相应的护理工作。

术后注意:
1.眼袋切口拆线前,注意不要让伤口沾水,保持清洁,避免感染。
2.去眼袋手术后3天,用冰袋局部冷敷,避免伤口出血,减少眼部水肿。如果出血不止,立即去医院检查。
3、去除眼袋后,应有安静舒适的环境,空气清新循环,避免头部位置过低,加重伤口肿胀。增加蛋白质摄入量,多吃水果和新鲜蔬菜,促进伤口愈合。
4.去除眼袋后5~7天拆线。拆线一天后可局部热敷,促进水肿尽快消退。
眼袋整形手术的结痂去除期因人而异。有些人体质不好,所以结痂会持续很长时间,但不要担心,也不要用手撕掉结痂,让它自己脱落。在选择医院时也要小心,去大型正规整形外科医疗机构做手术,安全将得到保证。










蜀ICP备2023012118号-1 珍美网 版权所有
Copyright © zhengxing6.com All Rights Reserved